Behandlungsbeispiele aus unserer Praxis
Zirkonkronen
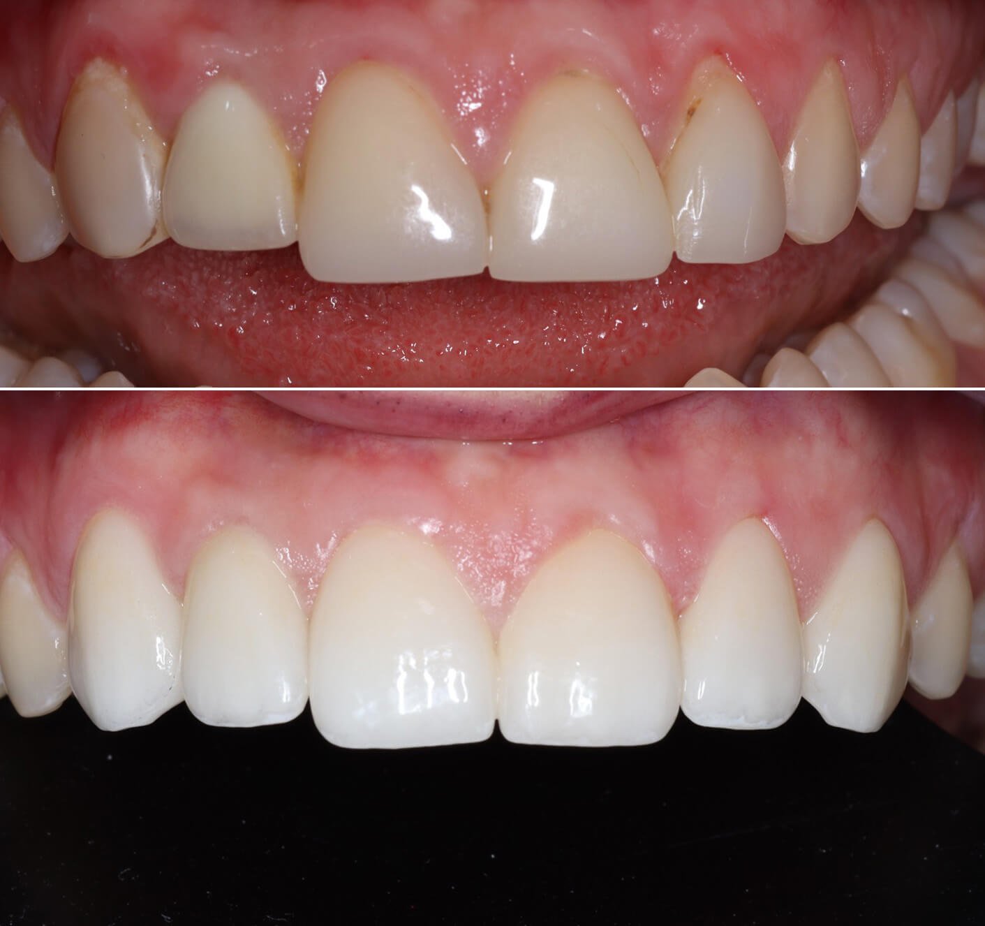
Direkte Kompositrestauration der Frontzähne
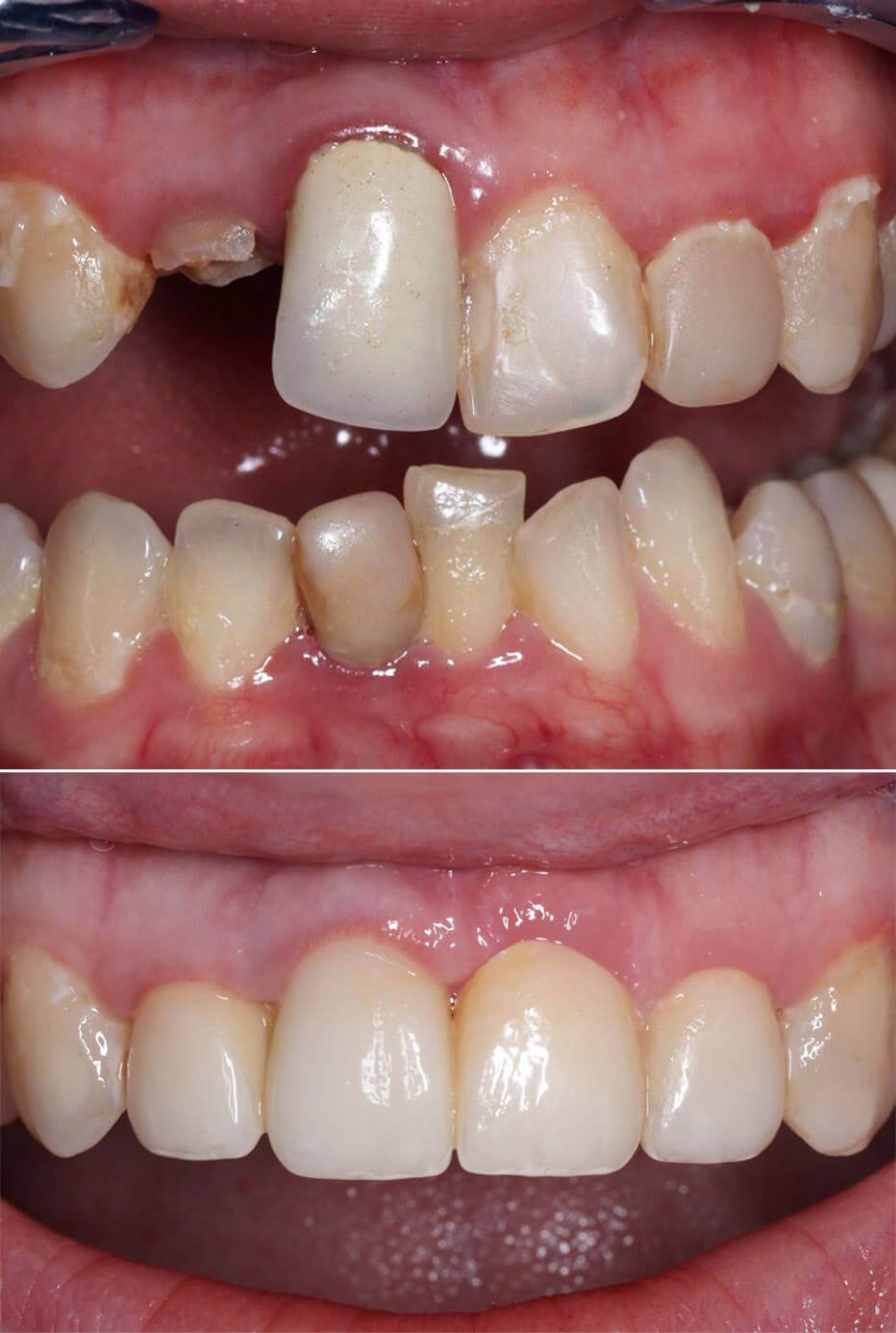
Versorgung im Frontzahnbereich mit Zirkonkronen
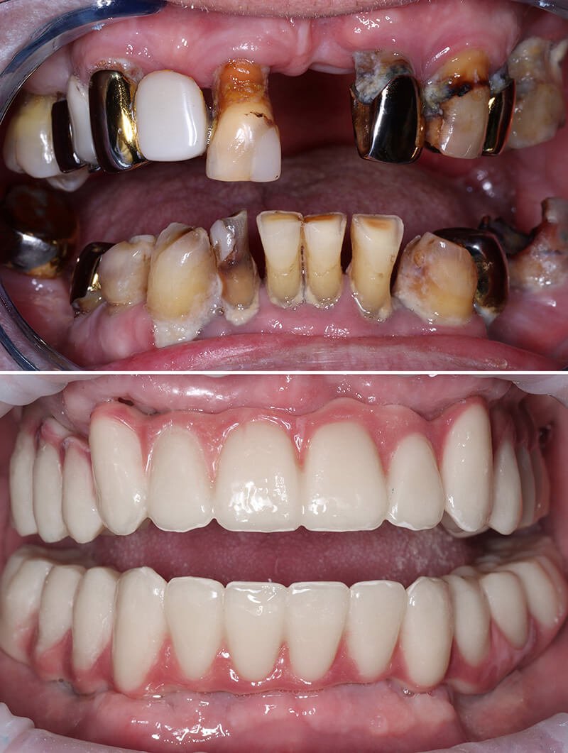
Vollständige Rekonstruktion auf Implantaten
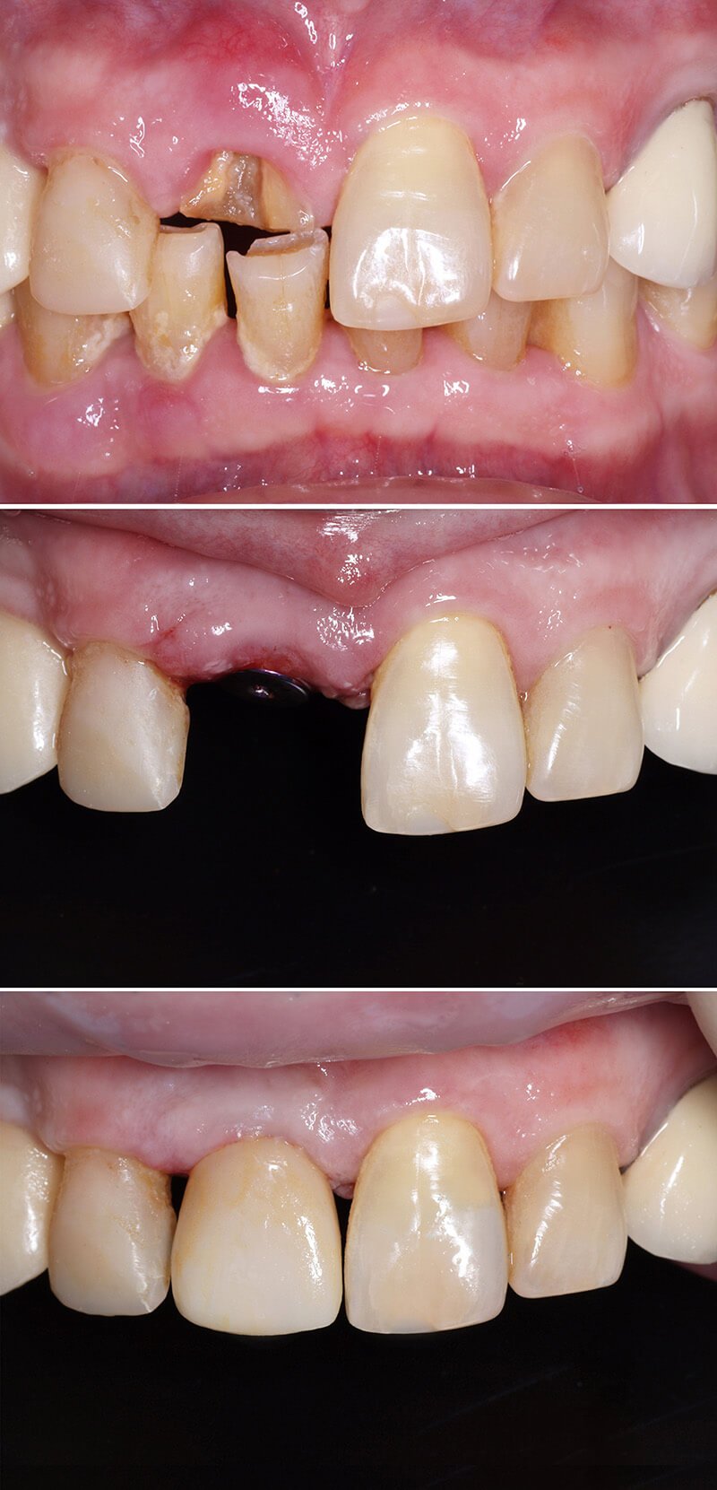
Wurzelaufbau mit Zirkoniumstiften und ästhetische provisorische Kronen
Zirkonkronen
Direkte Kompositrestauration der Frontzähne
Zirkonkrone
Zirkonkronen
Direkte Kompositrestauration der Frontzähne
Kariesentfernung
Versorgung im Frontzahnbereich mit Zirkonkronen
Provisorische Brücke auf Implantaten
Provisorische Kronen
Sofortimplantation
Keramik-Füllungen (Overlays)
Sofortimplantation
